Scale Imperfections
Last modified on Feb 02, 2023
Types of scale deformities include:
Definitions, causes, and preventions are described below.
Regeneration
A regenerated scale is a new scale that formed after a scale is lost. Regeneration, if substantial, can be recognized immediately after the scale is removed from the fish (Figure 1). Recognizing smaller degrees of regeneration requires careful examination. Regenerated scales do not show the growth history or circuli patterns prior to scale formation. If a scale is lost after the first annulus is formed, a regenerated scale has lost the growth patterns necessary to estimate age (Figure 2).
Scales with a large degree of regeneration can be avoided by visual inspection or by feel during sampling. Regenerated scales appear clear or lighter near the middle of the scale when the scale is held up to the light. Regenerated scales will also feel smooth, because the circuli-free portions of a regenerated scale are flat. In contrast, the circuli of non-regenerated scales feel ridged when these scales are gently scraped with a fingernail.
A scale with slight regeneration may have lost only a few freshwater circuli, and age can still be estimated (Figure 3). Circuli spacing between the first few (2-4) freshwater circuli in slightly regenerated scales is also considered. Initial growth of the regenerated scale is rapid and without circulus formation. As the rate of scale growth decreases, circulus formation begins and the first few circuli are widely spaced (Blair 1942). Salmon scales with regeneration are not assigned an age if a reader suspects a freshwater annulus is missing. Some sampling of regenerated scales is unavoidable; however, collection of regenerated scales can be minimized through careful inspection.
Resorption
Resorption of the scale margin
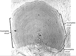
Resorbed salmon scales have missing and incomplete circuli along the scale margin giving them an irregular shape (Figures 4 and 5). Resorption of the scale margin occurs as a salmon returns to spawn. During return, salmon stop feeding and resorb the fibrous and calcified scale layers for energetic and mineral resources (Hernandez et al. 2014; Mosher 1969). All Chinook salmon life history types resorb their scales, except for mature parr, which spend their entire life in fresh water (Johnson et al. 2012). Scale resorption can result in underestimating fish age (Chilton and Bilton 1986).
While sampling scales in the field, some sampling of resorbed scales is unavoidable; however, this error can be minimized. Sampling of resorbed scales can be minimized by selecting the largest, most oval-shaped scales with smooth edges.
When reading Chinook salmon scales for age, it is helpful to consider:
- The amount of resorption. Scales with a large degree of resorption may not be readable. On the other hand, some scales will have enough scale material left for an age estimation, and some scales with a small degree of resorption will have most of the growth pattern remaining on the scale.
- Resorption begins at the base of the scale along the scale margin. The more resorption, the shorter the circuli and the shorter the base of the scale (dorsal-ventrally). Also, the scale margin is uneven and rough (Figure 5).
- Familiarity with scale patterns from the same fish. There are typically three scales to examine, and each may have been resorbed differently. Thus, it is helpful to look at all three scales to piece together a fish's growth pattern.
- Because fish within a population and age tend to have similar growth histories (Siegel et al. 2017; Wells et al. 2008), familiarity with scale patterns from other fish sampled at that location, or lower in the river, can be used to indicate the amount of growth and growth pattern expected for the population.
- The amount of growth after the last visible winter growth zone can be compared to the expected amount of growth for plus growth (see the final ocean annulus and "plus" growth section of age estimation).
- The size of the previous full annulus can be used as a reference for an expected size of another annulus (see the annuli section of age estimation).
Focal resorption
Resorption near the scale focus, or focal resorption, is prevalent among Asian-origin chum salmon and was found in 40% of Chinook salmon scales sampled from the Yukon River (n = 323; Figure 6; Bigler 1989). Focal resorption for juvenile chum salmon occurred after the first winter at sea (Bigler 1989). Focal resorption is rarely documented because age estimation is still possible. Scales with focal resorption are not preferred because some circuli are obscured and interpretation of the freshwater growth pattern is more difficult.
Inverted
Inverted scales were placed on the gummed card upside down, circuli towards the acetate, thus when pressed onto the acetate card, the impression was of the smooth side of the scale (Figure 7). This error was preventable. To prevent inversion, do not turn scales over when transferring the scales from fish to gummed card. If you lose track of the lateral side, you can feel the circuli by gently scraping both sides of the scale with a fingernail. The presence of circuli will be indicted by a gentle vibration.
Lateral line pore
Scales collected close to the lateral line may have a concave shape along the scale margin. This is usually observed on the anterior side of the scale where circuli are present (Figure 8). The lateral line system is a complex array of hair cells, canals, and other structures that relay stimuli to nerve cells (Barton 2007). The concave shape of the scale margin is caused by scales conforming to the edge of the lateral line canals. Age can still be estimated from scales collected along the lateral line.
Illegible
Illegible scales do not have readable circuli for various reasons. Common errors include dirty or folded scales. Scales that are not cleaned well have material, biological film, water, or other residue covering the circuli. When the scale is pressed, these materials smooth out or obscure circuli in the impression. This type of error can be avoided by careful cleaning in the field. Wipe the scale on neoprene fabric (e.g.; waders, wrist guard) immediately after sampling, or by gently rubbing the scale between two fingers. Folding can be prevented by placing the scale flat on the card.
References
Barton, M. 2007. Bond's Biology of Fishes, Third Edition. Thomson.
Bigler, B. 1989. Mechanism and occurrence of focal scale resorption among chum salmon (Oncorhynchus keta) of the North Pacific Ocean. Canadian Journal of Fisheries and Aquatic Sciences 46(7): 1147-1153.
Blair, A. 1942. Regeneration of the scales of Atlantic salmon. Journal of the Fisheries Board of Canada 5c(5):440-447.
Chilton, D., and H. Bilton. 1986. New Method for Ageing Chinook Salmon (Oncorhynchus tshawytscha) Using Dorsal Fin Rays, and Evidence if Its Validity. Canadian Journal of Fisheries and Aquatic Sciences 43(8): 1588-1594.
Hernandez, K., T. Copeland, and K. Wright. 2014. Quantitative assessment of scale resorption in migrating and spawning steelhead of the Snake River basin. Transactions of the American Fisheries Society 143(6):1562-1568.
Johnson, J., T. Johnson, and T. Copeland. 2012. Defining life histories of precocious male parr, minijack, and jack Chinook salmon using scale patterns. Transactions of the American Fisheries Society 141(6): 1545-1556.
Mosher, K. H. 1969. Identification of Pacific salmon and steelhead trout by scale characteristics United States Department of the Interior, Fish and Wildlife Service, Bureau of Commercial Fishes.
Siegel, J. E., M. V. McPhee, and M. D. Adkison. 2017. Evidence that Marine Temperatures Influence Growth and Maturation of Western Alaskan Chinook Salmon. Marine and Coastal Fisheries 9(1): 441-456.
Wells, B. K., C. B. Grimes, J. G. Sneva, S. McPherson, and J. B. Waldvogel. 2008. Relationships between oceanic conditions and growth of Chinook salmon (Oncorhynchus tshawytscha) from California, Washington, and Alaska, USA. Fisheries Oceanography 17(2): 101-125.







